Poznański szpital jako pierwszy wszczepił pacjentowi nowoczesny defibrylator całkowicie poza sercem

W Szpitalu Miejskim im. Józefa Strusia w Poznaniu przeprowadzono pionierski zabieg wszczepienia zewnątrznaczyniowego automatycznego kardiowertera-defibrylatora (EV-ICD). To nowoczesne urządzenie, w całości umieszczone poza sercem, ma chronić pacjentów przed skutkami groźnych arytmii i zatrzymań krążenia.

 Fot. Licencjodawca
A. Karczewska

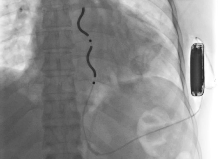
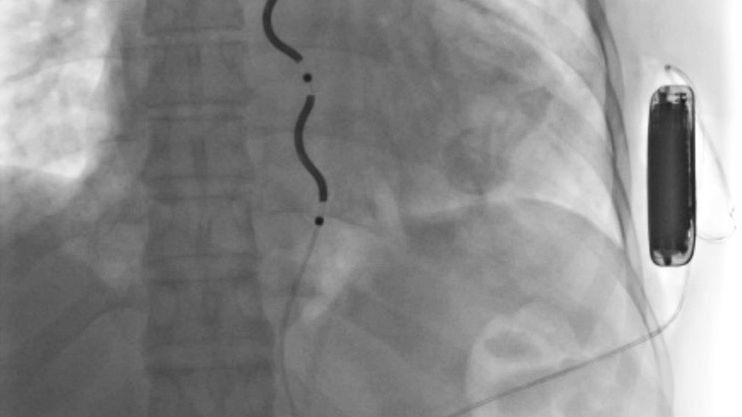
EV-ICD składa się z elektrody oraz generatora impulsów. Jego zadaniem jest wykrycie niebezpiecznej arytmii i natychmiastowe przerwanie jej za pomocą impulsu elektrycznego, zanim dojdzie do poważnych, nieodwracalnych zmian w organizmie. W odróżnieniu od tradycyjnych defibrylatorów, w których elektroda wprowadzana jest przez żyły bezpośrednio do wnętrza serca, w nowym rozwiązaniu elektroda znajduje się pod mostkiem, a generator umieszczany jest pod skórą w okolicy lewej pachy.

Jak podkreśla dr n. med. Andrzej Bolewski z Oddziału Kardiologii poznańskiego szpitala, kluczową zaletą EV-ICD jest brak ingerencji w układ żylny i wnętrze serca, co eliminuje ryzyko powikłań typowych dla klasycznych układów ICD, takich jak niedrożność żył, uszkodzenie zastawki trójdzielnej czy infekcyjne zapalenie wsierdzia.

Poruszający pogrzeb Rupińskiej i Bogusia. Kościół pękał w szwach

Pierwszym pacjentem, który skorzystał z nowej technologii w Poznaniu, był 47-letni mężczyzna po wielokrotnych zatrzymaniach krążenia. Po skutecznej reanimacji w karetce i na szpitalnym oddziale ratunkowym oraz po wykluczeniu odwracalnych przyczyn arytmii, zakwalifikowano go do innowacyjnego zabiegu. Operację wykonano 15 lipca, po wcześniejszym przygotowaniu obejmującym szczegółowe badania obrazowe, znieczulenie ogólne i test skuteczności defibrylacji. Wszczepienia dokonali lekarze z Oddziału Kardiologicznego – lek. Michał Guliński i dr n. med. Andrzej Bolewski oraz z Oddziału Kardiochirurgicznego dr n. med. Karol Buszkiewicz i lek. Roman Olszewski.

Już po 36 godzinach od zabiegu pacjent opuścił szpital w pełnej sprawności. Tego typu procedury są w placówce realizowane w ramach kontraktu z Narodowym Funduszem Zdrowia. Wcześniej w Wielkopolsce podobne zabiegi wykonywano jedynie w Uniwersyteckim Szpitalu Klinicznym.

Przełomowe wdrożenie w poznańskim szpitalu otwiera drogę do szerszego stosowania bezpieczniejszych i mniej inwazyjnych metod ochrony pacjentów z ciężkimi zaburzeniami rytmu serca.

Fot. Licencjodawca
Wybrane dla Ciebie
Trudne przypadki raka płuca zyskują realną szansę na leczenie
Trudne przypadki raka płuca zyskują realną szansę na leczenie
Tychy: Akatyst, wyjątkowe nabożeństwo adwentowe w kościele
Tychy: Akatyst, wyjątkowe nabożeństwo adwentowe w kościele
Rabka Zaryte: Pociągi pojadą w połowie grudnia! Prace prawie ukończone
Rabka Zaryte: Pociągi pojadą w połowie grudnia! Prace prawie ukończone
Świąteczne jarmarki i kiermasze odbędą się w wielu miejscach powiatu bełchatowskiego. Pierwsze już za kilka dni
Świąteczne jarmarki i kiermasze odbędą się w wielu miejscach powiatu bełchatowskiego. Pierwsze już za kilka dni
Tarnogród: Blues i Rock. Zaprezentowały się wyjątkowe zespoły
Tarnogród: Blues i Rock. Zaprezentowały się wyjątkowe zespoły
Chodzież: Strażacy uratowali życie jelonka. Utknął pod pomostem
Chodzież: Strażacy uratowali życie jelonka. Utknął pod pomostem
Za "No One Lives Forever" stoi zaskakująca historia
Za "No One Lives Forever" stoi zaskakująca historia
Jarmark pod Pałacem Kultury i Nauki oblężony przez tłumy już w pierwszy weekend
Jarmark pod Pałacem Kultury i Nauki oblężony przez tłumy już w pierwszy weekend
Kocudza Druga: Zespół "Jarzębina" świętuje jubileusz 35-lecia
Kocudza Druga: Zespół "Jarzębina" świętuje jubileusz 35-lecia
Radom: Andrzejki w Domu Tańca. Znakomita zabawa i świetna muzyka
Radom: Andrzejki w Domu Tańca. Znakomita zabawa i świetna muzyka
Zawadka: 11 edycja wydarzenia "Babie lato za horyzontem"
Zawadka: 11 edycja wydarzenia "Babie lato za horyzontem"
Rzeszów: Zabawa Andrzejkowa na osiedlu Budziwój. Imprezę taneczną poprowadził DJ Leszek! [FOTO, WIDEO]
Rzeszów: Zabawa Andrzejkowa na osiedlu Budziwój. Imprezę taneczną poprowadził DJ Leszek! [FOTO, WIDEO]
NIE WYCHODŹ JESZCZE! MAMY COŚ SPECJALNIE DLA CIEBIE 🎯